Конников Олег Викторович — эксперт Первого канала по стоматологии.
Опытный врач-стоматолог, занимается протезированием и имплантацией при полной и частичной потере зубов различной этиологии. Использует в работе только современные системы, а также последние достижения стоматологии. Олег Викторович является высококвалифицированным специалистом в гнатологии и нейромышечной стоматологии, занимается дисфункцией височно-нижнечелюстного сустава и микро протезированием, протезированием при полной и частичной адентии.
Проект "На 10 лет моложе" собрал целую команду специалистов, совместная работа которых позволяет достичь удивительных результатов в преображении участников реалити-шоу. Как Вы считаете, от кого в большей степени зависит успех преображения?
Условия, в которых мы работаем, очень ограничены по времени в силу длительного съемочного процесса и еженедельных выходов передачи, поэтому каждый раз мы прогнозируем результат. И здесь очень многое зависит от профессионализма Сергея Николаевича Блохина и моей работы, а далее, конечно же, от Кати Гершуни и Евгения Жука.
В чем заключается ваша "миссия" на проекте?
Мне хочется показать всем женщинам России, а также их родным и близким, что здоровье зубов напрямую влияет на качество жизни... Я хочу, чтобы привычка открыто улыбаться стала нормой для нашей страны, и что следить за зубами может каждый, главное — найти своего специалиста.
Эстетика зубов, в первую очередь, позволяет избавиться от психологических проблем, но какие проблемы со здоровьем могут возникнуть у людей, которые предпочитают не лечить зубы?
Жевательный орган, к которому относятся и зубы, является первым звеном в цепочке пищеварения, поэтому многие вопросы, связанные с проблемами желудочно-кишечного тракта начинаются с полости рта. Также именно здесь берут свои корни многие проблемы с мышцами лица и кранио-мандибулярной системой: возникают проблемы с височно-нижнечелюстным суставом, проблемы с осанкой. Головные боли также могут появиться при отсутствии своевременного лечения зубов.


По вашему, красивая улыбка — это показатель ухоженности или здоровья человека?
Красивая гармоничная улыбка — это визитная карточка человека в течение всей жизни. Например, мой друг, Лева из "БИ-2" говорит, что он, вообще, больше всего верит в добро и искусственные зубы...
Почему бытует мнение, что "стоматология — это неприлично дорого"?
Мне кажется, что неприлично дорого — ходить со страшными, невылеченными зубами, с напряженным по жизни лицом, с запахом изо рта и с коричневым налетом на зубах.
Имплантация зубов — довольно дорогостоящая процедура. Возникает вопрос, возможно ли избежать установки импланта, например, в случае, когда зуб не несет эстетической нагрузки и находится вне зоны улыбки?
Имплантация — это процедура, имеющая отношение исключительно к потере зуба: если по каким-то причинам зуб пришлось удалить, то необходимо ставить имплант. На сегодняшний день имплантация считается самым передовым методом восстановления зубов, ничего лучше пока еще не придумали. Что касается области, в которой отсутствует зубной элемент, эстетически значимой или нет — неважно, врач устанавливает имплант, а через несколько месяцев — надевается реставрация.
Моменты рабочего процесса




Имплантация зубов — довольно дорогостоящая процедура. Возникает вопрос, возможно ли избежать установки импланта, например, в случае, когда зуб не несет эстетической нагрузки и находится вне зоны улыбки?
Имплантация — это процедура, имеющая отношение исключительно к потере зуба: если по каким-то причинам зуб пришлось удалить, то необходимо ставить имплант. На сегодняшний день имплантация считается самым передовым методом восстановления зубов, ничего лучше пока еще не придумали. Что касается области, в которой отсутствует зубной элемент, эстетически значимой или нет — неважно, врач устанавливает имплант, а через несколько месяцев — надевается реставрация.
Любое другое лечение, связанное с потерей целостности зубного ряда и возмещением утраченной функции зуба, является компромиссным, и решение о целесообразности тех или иных манипуляций принимается непосредственно доктором.
Вы являетесь специалистом с многолетним опытом работы в данной отрасли, могли бы Вы обозначить основные тенденции и стоматологические "новинки" последних лет?
Основные новинки, на сегодняшний день — это применение цифровых технологий абсолютно на всех этапах лечения пациентов, начиная с дизайна улыбки при знакомстве, и заканчивая установкой имплантов без разреза и изготовления керамических конструкций за один день. Интеграция и использование современных технологий в практике врача очень сильно увеличивают качество работы и обеспечивают долгосрочный и надёжный результат.
Интердисциплинарный подход в лечение каждого пациента также влияют на качество произведённых работ.
И, конечно, исследование височно-нижнечелюстного сустава, цефалометрический анализ головы обеспечивают индивидуализацию и позволяют учитывать особенности каждого человека, как уникального воплощения природы.
Интегрируя все эти моменты и используя четкий протокол своих действий, я нашёл рецепт молодости и возможность влиять на судьбу своих пациентов!
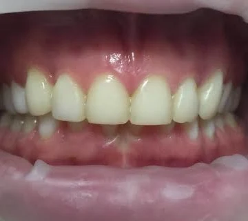
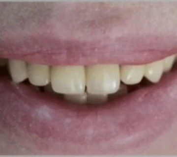
Работы доктора Конникова («до» и «после»)








Вы не могли бы рассказать о главных мифах, связанных с лечением зубов?
Вот основные моменты, которые чаще всего вызывают сомнения у пациентов, но это правда:
- препарируя зубы под коронки, нервы удалять из зубов не нужно;
- перед протезированием нужна хорошая функциональная диагностика;
- ортодонтия возможна в любом возрасте;
- импланты не отторгаются, если вы не в 5-7% "везунчиков";
- безметалловая керамика крепче металлокерамики.
Многих интересует вопрос: "Вредно ли отбеливание, и как часто необходимо проводить данную процедуру, чтобы поддерживать белизну зубов без неприятных последствий?".
Отбеливание не вредно, если проводить эту процедуру не более 2-3 раз в год.
Возможно ли добиться идеального состояния зубов исключительно отбеливанием? И в каких случаях необходима установка виниров? И какие материалы используются для их изготовления?
К сожалению, идеального состояния зубов исключительно отбеливанием не добиться.
В тех случаях, когда мы занимаемся лечением фронтальной группы зубов, и требования к эстетике повышенные, рекомендуется изготовление виниров, благодаря которым возможно изменить не только форму и цвет зубов, но и их наклон. Виниры, в свою очередь, можно изготовить из любого безметаллового материала, выбор которого определяется в зависимости от индивидуальных характеристик полости рта.
В каких случаях отдают предпочтение художественной реставрации, и почему в таких случаях пациенты отказываются от установки виниров?
Если объём художественной реставрации составляет более 2/3 от зуба, то это прямое показание к изготовлению виниров, накладок, вкладок, в зависимости от индивидуальной ситуации каждого пациента.
И последний вопрос: дайте, пожалуйста, некоторые рекомендации нашим читателям, каких правил необходимо придерживаться, чтобы избежать длительного и болезненного лечения, а также сохранить красивую улыбку на долгие годы?
Для того, чтобы поддерживать белизну своих зубов, необходимо использовать современные средства гигиены: ультразвуковые и звуковые зубные щётки, эйрфлосы и ирригаторы, зубные пасты с отбеливающим эффектом.
Конечно, важно помнить о необходимости регулярного посещения стоматолога и о профессиональной гигиене полости рта 2 раза в год.

WhatsApp
Telegram
MAX